Skip to content Skip to sidebar Skip to footer

Neues Aus Der Cll-forschung

Cll Fortschritte In Der Krebstherapie

Cll Fortschritte In Der Krebstherapie

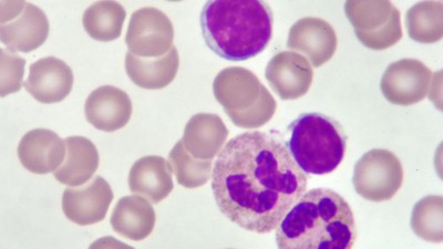
Neues aus der cll-forschung. Barbara Eichhorst Köln 0000. In unserem Nachrichtenticker können Sie live die neuesten Eilmeldungen auf Deutsch von Portalen Zeitungen Magazinen und Blogs lesen sowie nach älteren Meldungen suchen. Moderne Verfahren geben nun Hoffnung für viele Patienten über 65 Jahre.

Klar dachte ich wie zynisch es doch manchmal im Leben zugeht. Studien am Comprehensive Cancer Center der MedUni Wien und des AKH Wien zeigen dass die Wirkstoffe Ibrutinib und Idelalisib die in der zielgerichteten Therapie bei chronisch lymphatischer Leukämie eingesetzt werden das Überleben von HochrisikopatientInnen. Weiterhin spricht die Expertin über möglicherweise.

Eichhorst erklärt den Patienten die Wirkweise dieser alleinigen Tablettentherapie und geht auf mögliche Vorteile dieser Substanz ein. Das Team brütete CLL-Zellen mit bis zu 10 μM von ABT 737 alleine aus und beurteilte die Zellen als hochempfindlich für den Wirkstoff. 04072019 Die Chronische Lymphatische Leukämie kurz CLL ist die in unseren Breitengraden am häufigsten vorkommende Blutkrebsart.

Anfang 2014 erhielt er die Diagnose chronisch lymphatische Leukämie CLL eine Form von Blutkrebs. Die Apoptose trat innerhalb von 6 Stunden auf und die meisten Zellen unterlagen der Apoptose bei Dosen zwischen 10 NM und 100 NM. Die Behandlungsmöglichkeiten der Erkrankung haben sich in den vergangenen Jahren stark verbessert.

Die Expertin Prof. Für die Behandlung der chronisch lymphatischen Leukämie CLL wird es bald eine neue Therapieoption für Patienten mit wiederkehrender Erkrankung geben. Neuigkeiten aus der CLL-Forschung Vom 21072010 1934 Von Jan Geissler Drucken Ein folgende Bericht von Andrew Schorr des Health Talk Education Networks gibt neue Erkenntnisse eines Treffens von Mitgliedern des Chronic Lymphocytic Leukemia Research Consortium der wichtigsten US-amerikanischen CLL-Forschungsgruppe wieder.

Ich hatte ja eine halbe Ewigkeit in der medizinischen Diagnostik mit derartigen Krankheiten zu tun. Die deutsche CLL-Studiengruppe bewies in ihrer multizentrischen klinischen Studie der Phase II dass es möglich ist mit einer Stammzell-Transplantation auch ältere Patienten zu. Schockstarre Wut kein Boden mehr unter den Füßen.

Juli 2021 gestern und dieser Woche. Unser Newsticker zum Thema CLL enthält aktuelle Nachrichten von heute Freitag dem 2.

Cll Neues Verfahren Knackt Tarnkappe Von Blutkrebszellen Healthcare In Europe Com

Cll Neues Verfahren Knackt Tarnkappe Von Blutkrebszellen Healthcare In Europe Com

Cll Neue Erkenntnisse Zu Innovativen Substanzen Ash 2020 Dkg

Cll Neue Erkenntnisse Zu Innovativen Substanzen Ash 2020 Dkg

Einjahrige Cll Therapie Bewahrt Sich Weiterhin Medical Tribune

Einjahrige Cll Therapie Bewahrt Sich Weiterhin Medical Tribune

Chronische Lymphatische Leukamie Janssen Medical Cloud

Chronische Lymphatische Leukamie Janssen Medical Cloud

Chronische Lymphatische Leukamie Neue Behandlungsstrategien Swiss Medical Forum

Chronische Lymphatische Leukamie Neue Behandlungsstrategien Swiss Medical Forum

Deutsches Krebsforschungszentrum

Deutsches Krebsforschungszentrum

Cll Neue Substanz Vor Zulassung Dgho 2020 Dkg

Cll Neue Substanz Vor Zulassung Dgho 2020 Dkg

Neuer Antikorper Gegen Chronische Lymphatische Leukamie Zugelassen Gesundheitsstadt Berlin

Neuer Antikorper Gegen Chronische Lymphatische Leukamie Zugelassen Gesundheitsstadt Berlin

Ash 2020 Car T Zellen Auch Bei Cll Mit Richter Transformation Springermedizin De

Ash 2020 Car T Zellen Auch Bei Cll Mit Richter Transformation Springermedizin De

Neues Verfahren Macht Blutkrebszellen Fur Das Immunsystem Sichtbar

Neues Verfahren Macht Blutkrebszellen Fur Das Immunsystem Sichtbar

Deutsches Krebsforschungszentrum

Deutsches Krebsforschungszentrum

Aktuelle Infos Fur Arzte Zum Thema Cll Immunchemotherapie

Aktuelle Infos Fur Arzte Zum Thema Cll Immunchemotherapie

Neue Chemotherapiefreie Kombinationstherapie Erfolgreich Bei Unbehandelter Cll Onkologie Uniklinik Koln

Neue Chemotherapiefreie Kombinationstherapie Erfolgreich Bei Unbehandelter Cll Onkologie Uniklinik Koln

Deutsches Krebsforschungszentrum

Deutsches Krebsforschungszentrum

Chronische Lymphatische Leukamie Cll Venetoclax Jetzt In Der Erstlinie Einsetzbar Springermedizin De

Chronische Lymphatische Leukamie Cll Venetoclax Jetzt In Der Erstlinie Einsetzbar Springermedizin De

Chronische Lymphatische Leukamie Cll Mein Krebsratgeber

Chronische Lymphatische Leukamie Cll Mein Krebsratgeber

Alternativer Entstehungsprozess Fur Blutkrebs Entschlusselt Innovations Report

Alternativer Entstehungsprozess Fur Blutkrebs Entschlusselt Innovations Report

Duvelisib Neues Blutkrebsmittel Zur Zulassung Empfohlen Pz Pharmazeutische Zeitung

Duvelisib Neues Blutkrebsmittel Zur Zulassung Empfohlen Pz Pharmazeutische Zeitung

Therapie Der Chronischen Lymphatischen Leukamie Cll

Therapie Der Chronischen Lymphatischen Leukamie Cll

Dgho 2019 Woher Kommen Die Zweitmalignome Bei Cll Springermedizin De

Dgho 2019 Woher Kommen Die Zweitmalignome Bei Cll Springermedizin De

Onkopedia Leitlinie Chronische Lymphatische Leukamie Cll Aktualisiert Deutsche Gesellschaft Fur Hamatologie Und Med Onkologie E V

Onkopedia Leitlinie Chronische Lymphatische Leukamie Cll Aktualisiert Deutsche Gesellschaft Fur Hamatologie Und Med Onkologie E V

Die Behandlungsmoglichkeiten Bei Einer Cll I Das K Wort

Die Behandlungsmoglichkeiten Bei Einer Cll I Das K Wort

2

2

Https Encrypted Tbn0 Gstatic Com Images Q Tbn And9gct7majwg38 Yb5yytmz3z7wbjeo7mpglftuxyltd72 Tmiip7qh Usqp Cau

Https Encrypted Tbn0 Gstatic Com Images Q Tbn And9gct7majwg38 Yb5yytmz3z7wbjeo7mpglftuxyltd72 Tmiip7qh Usqp Cau

Neuer Therapeutischer Ansatz Bei Chronisch Lymphatischer Leukamie

Neuer Therapeutischer Ansatz Bei Chronisch Lymphatischer Leukamie

Universitatsklinikum Heidelberg Chronische Lymphatische Leukamie Cll

Universitatsklinikum Heidelberg Chronische Lymphatische Leukamie Cll

Neuer Ansatz Fur Immuntherapie Bei Chronisch Lymphatischer Leukamie

Neuer Ansatz Fur Immuntherapie Bei Chronisch Lymphatischer Leukamie

Cll Patienten Profitieren Von Neuer Kombinationstherapie

Cll Patienten Profitieren Von Neuer Kombinationstherapie

At Neue Forschungserfolge Bei Chronischer Lymphatischer Leukamie Cll Pflege Professionell

At Neue Forschungserfolge Bei Chronischer Lymphatischer Leukamie Cll Pflege Professionell

Cll Neue Diagnosemethoden Und Therapien Selpers

Cll Neue Diagnosemethoden Und Therapien Selpers

Neue Kombinationstherapie Bei Cll Senkt Rezidivrate Ash 2017 Dkg

Neue Kombinationstherapie Bei Cll Senkt Rezidivrate Ash 2017 Dkg

Jahrestagung Dgho 2017 Beginnt Mit Venetoclax Ein Neues Zeitalter In Der Therapie Der Cll Openpr

Jahrestagung Dgho 2017 Beginnt Mit Venetoclax Ein Neues Zeitalter In Der Therapie Der Cll Openpr

10 Dinge Die Man Uber Die Chronische Lymphatische Leukamie Wissen Abbvie Deutschland

10 Dinge Die Man Uber Die Chronische Lymphatische Leukamie Wissen Abbvie Deutschland

Chronische Lymphatische Leukamie Janssen Medical Cloud

Chronische Lymphatische Leukamie Janssen Medical Cloud

Cll Behandlung Kann Bei Mrd Negativitat Beendet Werden Medical Tribune

Cll Behandlung Kann Bei Mrd Negativitat Beendet Werden Medical Tribune

Die Lebenserwartung Bei Chronischen Leukamien

Die Lebenserwartung Bei Chronischen Leukamien

Chronisch Lymphatische Leukamie Cll Universitatsklinikum Ulm

Chronisch Lymphatische Leukamie Cll Universitatsklinikum Ulm

Mit Modernen Medikamenten Gegen Den Blutkrebs

Mit Modernen Medikamenten Gegen Den Blutkrebs

Universitatsklinikum Heidelberg Chronische Lymphatische Leukamie Cll

Universitatsklinikum Heidelberg Chronische Lymphatische Leukamie Cll

Deutsches Krebsforschungszentrum

Deutsches Krebsforschungszentrum

Die Behandlungsmoglichkeiten Bei Einer Cll I Das K Wort

Die Behandlungsmoglichkeiten Bei Einer Cll I Das K Wort

Uni Tubingen Erprobt Neue Impfung Gegen Krebs Gesundheitsstadt Berlin

Uni Tubingen Erprobt Neue Impfung Gegen Krebs Gesundheitsstadt Berlin

Aktuelle Infos Fur Arzte Zum Thema Cll Immunchemotherapie

Aktuelle Infos Fur Arzte Zum Thema Cll Immunchemotherapie

Https Www Uni Ulm De Fileadmin Website Uni Ulm Forschung Forschungssteckbriefe Haematologie Onkologie Onkologie Februar2017 1 Pdf

Https Www Uni Ulm De Fileadmin Website Uni Ulm Forschung Forschungssteckbriefe Haematologie Onkologie Onkologie Februar2017 1 Pdf

Http D Nb Info 1058076728 34

Http D Nb Info 1058076728 34

Cll Neue Substanz Vor Zulassung Dgho 2020 Dkg

Cll Neue Substanz Vor Zulassung Dgho 2020 Dkg

Universitatsklinikum Heidelberg Chronische Lymphatische Leukamie Cll

Universitatsklinikum Heidelberg Chronische Lymphatische Leukamie Cll

Mit Modernen Medikamenten Gegen Den Blutkrebs

Mit Modernen Medikamenten Gegen Den Blutkrebs

Https Encrypted Tbn0 Gstatic Com Images Q Tbn And9gcsx Oemzlbr 8trdzofqijo2hjk98 Omgmt9u7s81hye80e7neq Usqp Cau

Https Encrypted Tbn0 Gstatic Com Images Q Tbn And9gcsx Oemzlbr 8trdzofqijo2hjk98 Omgmt9u7s81hye80e7neq Usqp Cau

Barbara Eichhorst Köln gibt im Interview Antworten und stellt eine neue Zulassung für eine Kombination aus zwei Wirkstoffen Obinutuzumab plus Venetoclax bei der CLL-Therapie vor.

Weil sie oft gar nicht erst entdeckt werden sind diese Zellen sehr resistent gegenüber Angriffen des Immunsystems. Das Team brütete CLL-Zellen mit bis zu 10 μM von ABT 737 alleine aus und beurteilte die Zellen als hochempfindlich für den Wirkstoff. In unserem Nachrichtenticker können Sie live die neuesten Eilmeldungen auf Deutsch von Portalen Zeitungen Magazinen und Blogs lesen sowie nach älteren Meldungen suchen. Eichhorst erklärt den Patienten die Wirkweise dieser alleinigen Tablettentherapie und geht auf mögliche Vorteile dieser Substanz ein. Neue Therapie bei chronisch lymphatischer Leukämie könnte Chemotherapie ersetzen. Die Apoptose trat innerhalb von 6 Stunden auf und die meisten Zellen unterlagen der Apoptose bei Dosen zwischen 10 NM und 100 NM. 04072019 Die Chronische Lymphatische Leukämie kurz CLL ist die in unseren Breitengraden am häufigsten vorkommende Blutkrebsart. Neuigkeiten aus der CLL-Forschung Vom 21072010 1934 Von Jan Geissler Drucken Ein folgende Bericht von Andrew Schorr des Health Talk Education Networks gibt neue Erkenntnisse eines Treffens von Mitgliedern des Chronic Lymphocytic Leukemia Research Consortium der wichtigsten US-amerikanischen CLL-Forschungsgruppe wieder. Weiterhin spricht die Expertin über möglicherweise.


Schockstarre Wut kein Boden mehr unter den Füßen. 04072019 Die Chronische Lymphatische Leukämie kurz CLL ist die in unseren Breitengraden am häufigsten vorkommende Blutkrebsart. Studien am Comprehensive Cancer Center der MedUni Wien und des AKH Wien zeigen dass die Wirkstoffe Ibrutinib und Idelalisib die in der zielgerichteten Therapie bei chronisch lymphatischer Leukämie eingesetzt werden das Überleben von HochrisikopatientInnen. Ich hatte ja eine halbe Ewigkeit in der medizinischen Diagnostik mit derartigen Krankheiten zu tun. Schockstarre Wut kein Boden mehr unter den Füßen. Die Apoptose trat innerhalb von 6 Stunden auf und die meisten Zellen unterlagen der Apoptose bei Dosen zwischen 10 NM und 100 NM. In unserem Nachrichtenticker können Sie live die neuesten Eilmeldungen auf Deutsch von Portalen Zeitungen Magazinen und Blogs lesen sowie nach älteren Meldungen suchen.

Post a Comment for "Neues Aus Der Cll-forschung"